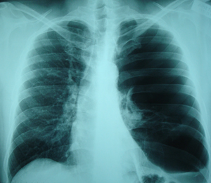
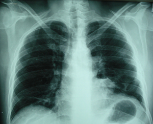
Εικόνα 1.
Οπισθιοπροσθία ακτινογραφία θώρακος. Διακρίνονται ευμεγέθεις
αερώδεις κύστες που καταλαμβάνουν, σχεδόν ολόκληρο το αριστερό
ημιθωράκιο. Ο ασθενής είχε αίσθημα δύσπνοιας μετά από προσπάθεια.

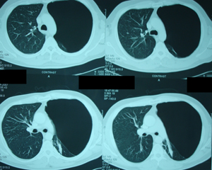
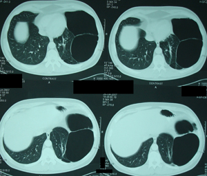
Εικόνα 2α
Αξονική τομογραφία του θώρακος. Τομή στο επίπεδο της κορυφής των
Πνευμόνων. Αερώδεις κύστες που καταλαμβάνουν εξ΄ολοκλήρου το
αριστερό άνω πνευμονικό πεδίο.

Εικόνα 2β
Αξονική τομογραφία θώρακος. Τομή στο επίπεδο της τρόπιδας και στο
ύψος των κυρίων βρόγχων. Πάλι το αριστερό ημιθωράκιο συνεχίζει να
καταλαμβάνεται από αερώδεις κύστες.

Εικόνα 2γ
Αξονική τομογραφία του θώρακος. Τομή στο ύψος της αριστερής κάτω
Πνευμονικής φλέβας. Το αριστερό ημιθωράκιο συνεχίζει να
καταλαμβάνεται από αερώδεις κύστες, ενώ αρχίζει να διακρίνεται πνευμονικό παρέγχυμα.

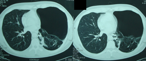
Εικόνα 2δ
Αξονική τομογραφία του θώρακος. Τομή πάνω από το επίπεδο του
διαφράγματος. Διακρίνεται περισσότερο πνευμονικό παρέγχυμα, ενώ
συνεχίζουν να διακρίνονται αερώδεις κύστες.

Εικόνα 2ε
Αξονική τομογραφία του θώρακος. Τομή στο επίπεδο του διαφράγματος.
Μεικτή εικόνα, αερωδών κύστεων και πνευμονικού παρεγχύματος.

Εικόνα 3α
Διεγχειρητική φωτογραφία. Διακρίνεται το τοίχωμα μιάς αερώδους
κύστεως που έχει διαταμεί. Η τομή στο τοίχωμα της κύστεως ήταν
απαραίτητη καθώς δεν ήταν δυνατή η είσοδος στο ημιθωράκιο λόγω
παγίδευσης αέρος, παρά το ότι είχε γίνει αποκλεισμός του αριστερού πνεύμονος.

Εικόνα 3β
Διεγχειρητική φωτογραφία. Διακρίνεται η γραμμή συρραφής του
πνεύμονος μετά από την αφαίρεση της μεγάλης αερώδους κύστεως.
Η συρραφή έγινε με την ειδικό ευθύ συρραπτικό εργαλείο-ραπτοκόπτη,
ενισχυμένο με ειδικές συνθετικές λωρίδες από επεξεργασμένο βόειο περικάρδιο.
Επίσης έγινε ενίσχυση της γραμμής συρραφής του παρεγχύματος με ράμμα Prolene
4/0. Μετά από την έκπτυξη του πνεύμονος χρησιμοποιήθηκε ειδική κόλλα πάνω από την γραμμή συρραφής του πνευμονικού παρεγχύματος.

Εικόνα 3γ
Διεγχειρητική φωτογραφία μετά από την πλήρη έκπτυξη του πνεύμονος.
Το πνευμονικό παρέγχυμα είχε πολύ καλή υφή τόσο στην επισκόπηση όσο στην ψηλάφηση.

Εικόνα 4α
Φωτογραφία ευμεγέθους κύστεως πνεύμονος που αφαιρέθηκε ακέραια.

Εικόνα 4β
Φωτογραφία του τοιχώματος της δεύτερης μεγαλύτερης αερώδους
κύστεως. Επίσης διακρίνονται και μικρές κύστες στο παρακείμενο
πνευμονικό παρέγχυμα της γλωσσίδας.

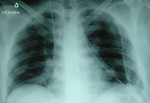
Εικόνα 5
Οπισθιοπρόσθια ακτινογραφία θώρακος, τρεις μέρες μετεγχειρητικά όπου
διακρίνονται οι δύο σωλήνες παροχέτευσης. Πλήρης έκπτυξη του αριστερού πνεύμονος.

Εικόνα 6
Οπισθιοπροσθία ακτινογραφία του θώρακος, έξι μέρες μετά από την αφαίρεση των κύστεων, την αφαίρεση των σωλήνων παροχέτευσης και προ της εξόδου του ασθενούς από το νοσοκομείο. Πλήρης έκπτυξη του αριστερού πνεύμονος.

Αρχή
|