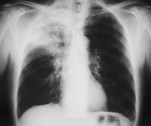
Εικόνα 1
Οπισθιο-πρόσθια ακτινογραφία θώρακος. Πυκνοατελεκτασία με φλεγμονώδη στοιχεία στον δεξιό άνω λοβό. Η βρογχοσκόπηση έδειξε ότι υπήρχε όγκος στο στόμιο του λοβαίου βρόγχου του άνω λοβού που το απέφρασσε πλήρως. Η βιοψία έδειξε ότι πρόκειται για πλακώδες καρκίνωμα πνεύμονος.

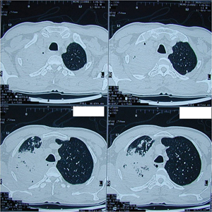
Εικόνα 2α-β
Αξονική τομογραφία θώρακος σε δύο επίπεδα. Πυκνο-ατελεκτατικά στοιχεία στον δεξιό άνω λοβό με ύπαρξη φλεγμονωδών στοιχείων.
A-B
 
Εικόνα 3α-ζ
Διεγχειρητικές φωτογραφίες μετά από δεξιά άνω λοβεκτομή, δίκην περιχειρίδος (sleeve lobectomy).
Διακρίνεται το έλλειμμα στην συνέχεια του τραχειοβρογχικού δένδρου. Δηλαδή φαίνεται το περιφερικό άκρο του δεξιού κυρίου βρόγχου και το κεντρικό άκρο του διάμεσου βρόγχου. Προοδευτική συμπλησίαση των δύο άκρων και τελικο-τελική αποκατάσταση με συνεχή συρραφή, χρησιμοποιώντας μη απορροφήσιμο ράμμα
(Ράμμα Prolene Νο 3/0) και σε ένα στρώμα. Έκπτυξη του μέσου και του κάτω λοβού.
A-B
 
Γ-Δ
 
Ε-ΣΤ
 
Ζ

Εικόνα 4
Οπισθιοπρόσθια ακτινογραφία θώρακος μετά από δεξιά λοβεκτομή με βρογχοπλαστική πέντε χρόνια μετά από την επέμβαση για μη μικροκυτταρικό καρκίνο πνεύμονος. Πλήρης έκπτυξη του κάτω και μέσου λοβού.

Εικόνα 5
Το χειρουργικό παρασκεύασμα. Δεξιός άνω λοβός με τον όγκο στο στόμιο του άνω λοβού.

Αρχή
|