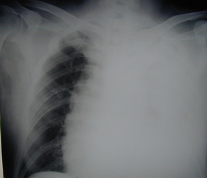
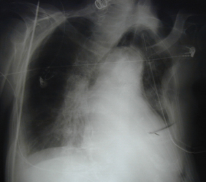
Περίπτωση Νο 1
Εικόνα 1
Οπισθιοπροσθία ακτινογραφία θώρακος όπου υπάρχει πλήρης κατάληψη του αριστερού ημιθωρακίου από υγρό που προκαλεί μετατόπιση του μεσοθωρακίου προς την υγιή πλευρά. Ο ασθενής παρουσιάστηκε με έντονη δύσπνοια, και από το ιατρικό ιστορικό του ο ασθενής ανέφερε την λήψη αντιπηκτικών.

Περίπτωση Νο 1
Εικόνα 2
Οπισθιοπροσθία ακτινογραφία του θώρακος μετά από προσπάθεια εκκένωσης του υγρού με την εισαγωγή σωλήνα παροχέτευσης θώρακος, αφού είχε τεθεί η διάγνωση αιμοθώρακος με διαγνωστική παρακέντηση. Ο έλεγχος του αίματος έδειξε ότι υπήρχε μεγάλη παράταση του χρόνου προθρομβίνης από τα αντιπηκτικά.

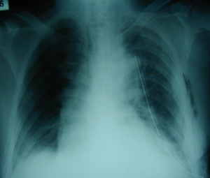
Περίπτωση Νο 1
Εικόνα 3
Οπισθιοπροσθία ακτινογραφία του θώρακος μετά από την αποτυχή εκκένωση του αιμοθώρακος με την τοποθέτηση του σωλήνα παροχέτευσης. Παρατηρείται εκ νέου συλλογή αίματος και μετατόπιση του μεσοθωρακίου, προς την υγιή πλευρά.

Περίπτωση Νο 1
Εικόνα 4
Οπισθιοπροσθία ακτινογραφία του θώρακος μετά από τη διενέργεια ερευνητικής περιορισμένης θωρακοτομής. Πλήρης εκκένωση του υγρού (αίματος) και πλήρης έκπτυξη του πνεύμονος και επαναφορά του μεσοθωρακίου σε φυσιολογική θέση.

Περίπτωση Νο 2
Εικόνα 1
Οπισθιοπροσθία ακτινογραφία θώρακος με πλήρη κατάληψη του αριστερού ημιθωρακίου από αίμα μετά από πτώση.

Περίπτωση Νο 2
Εικόνα 2
Αξονική τομογραφία θώρακος. Πλήρης κατάληψη του αριστερού ημιθωρακίου από υγρό (αίμα) μετά από πτώση από ύψος. Διακρίνονται πολλαπλά κατάγματα πλευρών και παθητική ατελεκτασία του κάτω λοβού.

Περίπτωση Νο 2
Εικόνα 3
Οπισθιο-πρόσθια ακτινογραφία θώρακος. Διακρίνεται ο σωλήνας παροχέτευσης του θώρακος (σωλήνας τύπου Argyle), που τοποθετήθηκε με τοπική αναισθησία. Πλήρης έκπτυξη του πνεύμονος μετά την εκκένωση του αίματος.

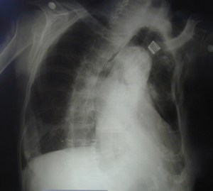
Περίπτωση Νο 2
Εικόνα 4
Οπισθιο-πρόσθια ακτινογραφία του θώρακος μετά από την παροχέτευση του αίματος αφού έγινε τοποθέτηση σωλήνα παροχέτευσης του θώρακος. Πλήρης έκπτυξη του πνεύμονος. Η ασθενής έπασχε από βαριά σκολίωση σπονδυλικής στήλης.

Αρχή
|