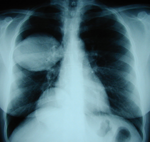
Εικόνα 1
Οπισθιοπροσθία ακτινογραφία του θώρακος. Διακρίνονται δύο μεγάλες κύστες εχινοκόκκου του δεξιού πνεύμονος, μια στον άνω και η άλλη στον κάτω λοβό.

Εικόνα 2
Πλάγια ακτινογραφία θώρακος. Διακρίνονται δύο μεγάλες κύστες εχινοκόκκου, μια στο άνω λοβό και η άλλη στο κάτω λοβό.

Εικόνα 3α-δ
Αξονική τομογραφία του θώρακος σε διαφορετικά επίπεδα που δείχνει εχινόκοκκο κύστη στο οπίσθιο τμήμα του άνω λοβού και δεύτερη κύστη στο οπίσθιο τμήμα του κάτω λοβού με εικόνα ρήξης.
Α-Β

Γ-Δ

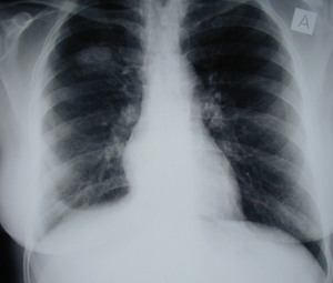
Εικόνα 4
Μετεγχειρητική οπισθιοπροσθία ακτινογραφία του θώρακος. Έχουν αφαιρεθεί οι δύο κύστες χωρίς την αφαίρεση λειτουργικού πνευμονικού παρεγχύματος. Πλήρης έκπτυξη του πνεύμονος
.
Εικόνα 5
Φωτογραφία των δύο εχινοκόκκων κύστεων. Η μια είναι ακέραια και η άλλη είχε ραγεί.

Αρχή
|