Περίπτωση Νο 1
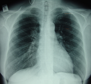
Εικόνα 1
Οπισθιοπροσθία ακτινογραφία θώρακος που δείχνει σκίαση πάνω από την δεξιά πύλη.

Περίπτωση Νο 1
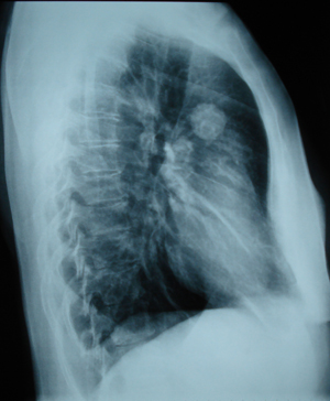
Εικόνα 2
Πλάγια ακτινογραφία θώρακος. Στρογγυλή σκίαση πάνω από το επίπεδο της πύλης στο πρόσθιο τμήμα του άνω λοβού.

Περίπτωση Νο 1
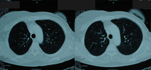
Εικόνα 3
Αξονική τομογραφία θώρακος που δείχνει μάζα εκ μαλακών μορίων στο πρόσθιο τμήμα του δεξιού άνω λοβού. Η μάζα έχει ομοιογενή σύσταση με ομαλά όρια.

Περίπτωση Νο 1
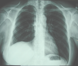
Εικόνα 4
Οπισθιο-πρόσθια ακτινογραφία θώρακος μετά από δεξιά θωρακοτομή-άνω λοβεκτομή. Πλήρης έκπτυξη του μέσου και του κάτω λοβού.

Περίπτωση Νο 1
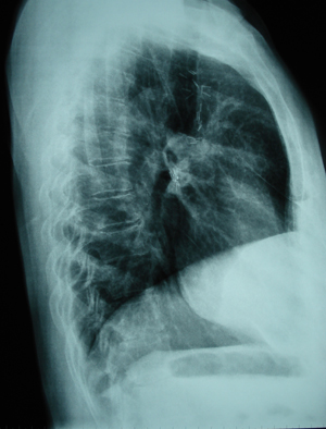
Εικόνα 5
Πλάγια ακτινογραφία του θώρακος μετά από δεξιά άνω λοβεκτομή για τυπικό καρκινοειδές πνεύμονος.

Περίπτωση Νο 1
Εικόνα 6
Μετεγχειρητική εικόνα αξονικής τομογραφίας θώρακος, μετά τη δεξιά άνω λοβεκτομή.

Αρχή
|