Εικόνα 1
Ακτινογραφία οισοφάγου μετά από την κατάποση βαριούχου γεύματος. Υπάρχει έλλειμμα πληρώσεως του αυλού του οισοφάγου, όπως και διάταση του αυλού.

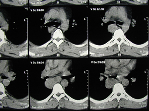
Εικόνα 2 α-γ
Αξονική τομογραφία του θώρακος σε διαφορετικά επίπεδα. Διακρίνεται η παρουσία όγκου στο οπίσθιο μεσοθωράκιο που πιθανά να αποτελεί όγκο του οισοφάγου.
Α-Β
 
Γ

Εικόνα 3
Φωτογραφία του χειρουργικού παρασκευάσματος που αφαιρέθηκε με δεξιά θωρακοτομή.Πρόκειται για όγκο του οισοφάγου δίκην πετάλου αλόγου. Η ιστολογική εξέταση έδειξε ότι πρόκειται για λειομύωμα του οισοφάγου. Είναι πολύ σπάνιος όγκος και η επέμβαση προσφέρει ίαση στον ασθενή.

Εικόνα 4
Διεγχειρητική φωτογραφία μετά την δεξιά θωρακοτομή και αφαίρεση του όγκου του οισοφάγου. Υπάρχει διατομή, παράλληλη προς τον επιμήκη άξονα του οισοφάγου. Έχει προκληθεί διάταση του αυλού του οισοφάγου με την εμφύσηση αέρα για τον έλεγχο τυχόν ύπαρξης διαφυγής λόγω τραυματισμού κατά την διαδικασία αφαίρεσης του όγκου.

Εικόνα 5
Ακτινογραφία του οισοφάγου μετεγχειρητικά και μετά από κατάποση γαστρογραφίνης. Φυσιολογικός αυλός του οισοφάγου.

Αρχή
|