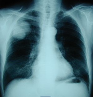
Εικόνα 1
Οπισθιοπρόσθια ακτινογραφία θώρακος που δείχνει όγκο στο δεξιό άνω λοβό.

Εικόνα 2
Πλάγια ακτινογραφία θώρακος. Διακρίνεται μάζα στον άνω λοβό στο ύψος του αορτικού τόξου.

Εικόνα 3
Αξονική τομογραφία θώρακος που δείχνει μάζα εκ μαλακών μορίων ( όγκος ) στον άνω λοβό του δεξιού πνεύμονος.

Εικόνα 4
Μετεγχειρητική οπισθιοπροσθία ακτινογραφία θώρακος μετά από δεξιά άνω λοβεκτομή, όπου παρατηρείται πλήρης έκπτυξη του κάτω και του μέσου λοβού.
Διακρίνεται ο σωλήνας παροχέτευσης του θώρακος.

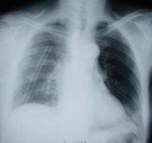
Εικόνα 5
Οπισθιοπρόσθια ακτινογραφία θώρακος πολλά χρόνια μετά από την άνω λοβεκτομή για καρκίνο πνεύμονος.
.
Εικόνα 6
Πλάγια ακτινογραφία θώρακος μετά από δεξιά άνω λοβεκτομή, φυσιολογική εικόνα.

Εικόνα 7
Φωτογραφία ενός λοβού του πνεύμονος μετά από την αφαίρεσή του. Διακρίνεται ο όγκος στο αριστερό πλάγιο μέρος της φωτογραφίας, που υπεγείρει το υπερκείμενο πνευμονικό παρέγχυμα. Επίσης διακρίνεται η γραμμή συρραφής του πνεύμονος προκειμένου να διαχωριστεί ο άνω λοβός από τον μέσο λοβό.

Εικόνα 8.
Φωτογραφία του λοβού αφού έγινε διατομή του υπερκείμενου πνευμονικού παρεγχύματος. Διακρίνεται ο καρκίνος στο βάθος της τομής.

Αρχή
|