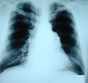
Περίπτωση Νο 1
Εικόνα 1
Οπισθιοπροσθία ακτινογραφία θώρακος. Διακρίνεται διεύρυνση του μεσοθωρακίου που οφείλεται στην ύπαρξη όγκου στο μεσοθωράκιο.

Περίπτωση Νο 1
Εικόνα 2
Πλάγια ακτινογραφία θώρακος, στην οποία διακρίνεται μάζα στον οπισθοστερνικό χώρο στο ανώτερο πρόσθιο μεσοθωράκιο.

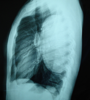
Περίπτωση Νο 1
Εικόνα 3
Αξονική τομογραφία θώρακος. Διακρίνεται η παρουσία μάζας από μαλακά μόρια προπερικαρδιακά, οπισθοστερνικά, με προβολή προς τα αριστερά. Η μάζα αυτή έχει ομαλά όρια με ομοιογενή πυκνότητα. Οι συχνότεροι όγκοι που εντοπίζονται σε αυτή την θέση είναι του θύμου αδένα.

Περίπτωση Νο 1
Εικόνα 4
Αξονική τομογραφία θώρακος του ίδιου ασθενούς σε διαφορετικό επίπεδο.

Περίπτωση Νο 1
Εικόνα 5
Μετεγχειρητική οπισθιο-πρόσθια ακτινογραφία θώρακος μετά από μέση στερνοτομή και αφαίρεση του όγκου. Η ιστολογική εξέταση έδειξε ότι πρόκειται για σπάνιο όγκο, προερχόμενο από έκτοπο θυρεοειδικό ιστό.

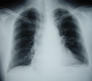
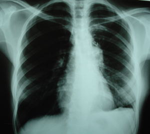
Περίπτωση Νο 2
Εικόνα 1
Απλή οπισθιο-πρόσθια ακτινογραφία θώρακος που δείχνει ευμεγέθη μάζα στο οπίσθιο μεσοθωράκιο. Η ακτινογραφία ανήκει σε θήλυ ασθενή ηλικίας 30 ετών χωρίς συμπτώματα.

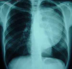
Περίπτωση Νο 2
Εικόνα 2
Πλάγια ακτινογραφία θώρακος που δείχνει τον ευμεγέθη όγκο του οπισθίου μεσοθωρακίου.

Περίπτωση Νο 2
Εικόνα 3 α-δ
Αξονική τομογραφία του θώρακος. Επιβεβαιώνει τα ευρήματα της ακτινογραφίας του θώρακος. Δείχνει μάζα μαλακών μορίων, με νεκρώσεις, στο οπίσθιο μεσοθωράκιο χωρίς σημεία διήθησης παρακείμενων οργάνων.
A-B
 
Γ-Δ
 
Περίπτωση Νο 2
Εικόνα 4 α
Διεγχειρητική φωτογραφία. Μετά από την είσοδο στην θωρακική κοιλότητα και την διαστολή των πλευρών προβάλλει ευμεγέθης σκληρή μάζα με μεγάλη αγγειοβρίθεια.

Περίπτωση Νο 2
Εικόνα 4 β
Χειρουργικό παρασκεύασμα. Ο όγκος είχε διαστάσεις 17x10.8x9.5 εκ. και η ιστολογική εξέταση έδειξε ότι πρόκειται για νευρογενή όγκο, που λέγεται Σβάννωμα ή νευρολείμμομα.

Περίπτωση Νο 2
Εικόνα 4γ
Διεγχειρητική φωτογραφία μετά από την ριζική αφαίρεση του όγκου. Ο πνεύμονας είναι ατελεκτατικός.

Περίπτωση Νο 2
Εικόνα 4δ
Διεγχειρητική φωτογραφία μετά από την ριζική αφαίρεση του όγκου. Πλήρης έκπτυξη του πνεύμονα.

Περίπτωση Νο 2
Εικόνα 5
Η μετεγχειρητική ακτινογραφία του θώρακος αφού έγινε ριζική αφαίρεση του όγκου εντός της κάψας του. Πλήρης έκπτυξη του πνεύμονος. Διακρίνονται δύο σωλήνες παροχέτευσης του θώρακος.

Περίπτωση Νο 2
Εικόνα Νο 6
Οπισθιο-πρόσθια μετεγχειρητική ακτινογραφία θώρακος, ένας μήνας μετά από την επέμβαση. Πλήρης έκπτυξη του πνεύμονος.

Αρχή
|