Περίπτωση Νο1
Εικόνα 1
Αξονική τομογραφία θώρακος που δείχνει ευμεγέθη όγκο του θωρακικού τοιχώματος με ομαλά όρια πιθανά προερχόμενο από τα μαλακά μόρια στην περιοχή του μαζικού αδένα.

Περίπτωση Νο 1
Εικόνα 2
Διεγχειρητική φωτογραφία. Έλλειμμα στο θωρακικό τοίχωμα, μετά από την αφαίρεση όγκου θωρακικού τοιχώματος. Διακρίνεται ο υποκείμενος πνεύμονας και φαίνονται οι άκρες των αφαιρεθέντων πλευρών.

Περίπτωση Νο 1
Εικόνα 3
Φωτογραφία χειρουργικού παρασκευάσματος. Ο όγκος του θωρακικού τοιχώματος που αφαιρέθηκε και η ιστολογική του εξέταση έδειξε ότι πρόκειται για δεσμοειδή όγκο.

Περίπτωση Νο 1
Εικόνα 4
Αποκατάσταση του θωρακικού τοιχώματος με την τοποθέτηση συνθετικού μοσχεύματος από πολυ-τετρα-φλουορο-αιθυλένιο ( Poli-tetra-fluoro-ethelene )

Περίπτωση Νο 1
Εικόνα 5
Οπισθιοπρόσθια ακτινογραφία θώρακος μετά από εκτομή θωρακικού τοιχώματος και αποκατάσταση. Διακρίνεται το έλλειμμα στο πρόσθιο άκρο των δεξιών πλευρών.

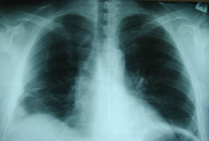
Περίπτωση Νο 2
Εικόνα 1
Οπισθιοπροσθία ακτινογραφία θώρακος στην οποία φαίνεται ότι υπάρχει ευμεγέθης όγκος που προβάλλει δεξιά παρακαρδιακά.

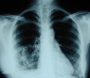
Περίπτωση Νο 2
Εικόνα 2
Πλάγια ακτινογραφία του θώρακος. Υπάρχει ευμεγέθης όγκος στην οπισθοστερνική περιοχή, στο επίπεδο της ξιφοειδούς απόφυσης.

Περίπτωση Νο 2
Εικόνα 3
Η αξονική τομογραφία του θώρακος επιβεβαιώνει τα ευρήματα της απλής ακτινογραφίας του θώρακος και αναδεικνύει την ύπαρξη του όγκου του θωρακικού τοιχώματος προερχόμενο από την στερνοπλευρική γωνία στο ύψος της ξιφοειδούς απόφυσης. Ο όγκος έχει αποτιτανώσεις.

Περίπτωση Νο 2
Εικόνα 4
Οπισθιοπροσθία ακτινογραφία του θώρακος μετά από την αφαίρεση του όγκου (χονδροσάρκωμα). Η αποκατάσταση του θωρακικού τοιχώματος έγινε με την τοποθέτηση μοσχεύματος από ακρυλική ρητίνη (Methyl-Methacrylate-cement), τσιμέντο και πλέγμα Marlex Mesh (τεχνική σάντουιτς). Διακρίνονται και τα συρμάτινα ράμματα που χρησιμοποιήθηκαν για την καθήλωση του
μοσχεύματος.

Περίπτωση Νο 2
Εικόνα 5
Πλάγια ακτινογραφία του θώρακος μετά από την αφαίρεση του όγκου και την αποκατάσταση του θωρακικού τοιχώματος με ακρυλική ρητίνη. Διακρίνονται και τα συρμάτινα ράμματα που χρησιμοποιήθηκαν.

Περίπτωση Νο 3
Εικόνα 1
Αξονική τομογραφία θώρακος. Διακρίνεται ευμεγέθης όγκος του θωρακικού τοιχώματος με υπεζωκοτική συλλογή που προκαλεί ατελεκτασία του κάτω λοβού του δεξιού πνεύμονος.

Περίπτωση Νο 3
Εικόνα 2
Φωτογραφία χειρουργικού παρασκευάσματος, ο όγκος διηθούσε μεγάλο τμήμα του διαφράγματος που αφαιρέθηκε en-block μετά των πλευρών και των μεσοπλευρίων μυών. Η ιστολογική εξέταση έδειξε ότι πρόκειται για μεταστατικό όγκο (αισθησιονευροβλάστωμα), πάνω από εικοσιπέντε χρόνια μετά από την αρχική θεραπεία του πρωτοπαθούς όγκου. Πρόκειται για σπανιότατο μεταστατικό όγκο του θωρακικού τοιχώματος.

Περίπτωση Νο 3
Εικόνα 3
Διεγχειρητική φωτογραφία. Διακρίνεται μεγάλο έλλειμμα στο θωρακικό τοίχωμα
όπου λείπουν πλευρές και διάφραγμα και για το λόγο αυτό φαίνεται η άνω επιφάνεια του ήπατος μέσω της θωρακοτομής.

Περίπτωση Νο 3
Εικόνα 4
Διεγχειρητική φωτογραφία αποκατάστασης του ελλείμματος του διαφράγματος με συνθετικό μόσχευμα Gore-tex, πάχους 2 χιλιοστών.

Περίπτωση Νο 3
Εικόνα 5
Διεγχειρητική φωτογραφία. Συνέχιση της αποκατάστασης του ελλείμματος του θωρακικού τοιχώματος με το ίδιο μόσχευμα, Gore-tex πάχους 2 χιλιοστών.

Αρχή
|