Εικόνα 1
Οπισθιοπροσθία ακτινογραφία θώρακος ασθενούς που είχε εργώδη διασωλήνωση για χολοκυστεκτομή. Υπάρχει μεγάλη υπεζωκοτική συλλογή στο δεξιό ημιθωράκιο, υπάρχει υδραερικό επίπεδο στο ημιθωράκιο όπως και αέρας στο μεσοθωράκιο και στον τράχηλο.

Εικόνα 2α-δ
Αξονική τομογραφία θώρακος σε διαφορετικά επίπεδα. Αναδεικνύει τα ίδια ευρήματα με την απλή ακτινογραφία και θέτει την διάγνωση της ρήξης της τραχηλικής μοίρας του οισοφάγου με εικόνα εμπυήματος του δεξιού ημιθωρακίου και εικόνα μεσοθωρακίτιδας με υδραερικό επίπεδο τόσο στο μεσοθωράκιο όσο και στον τράχηλο.
Α-Β
 
Γ-Δ
 
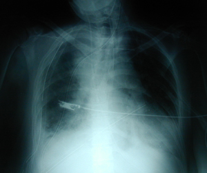
Εικόνα 3
Μετεγχειρητική οπισθιοπροσθία ακτινογραφία θώρακος μετά από την διενέργεια θωρακοτομής- παροχέτευσης του ημιθωρακίου, τον χειρουργικό καθαρισμό του μεσοθωρακίου, και μετά από την συρραφή της τραχηλικής μοίρας του οισοφάγου. Έγινε κινητοποίηση του στερνοκλειδομαστοειδούς μυός για ενίσχυση της γραμμής συρραφής του οισοφάγου, με την διενέργεια αριστεράς τραχηλικής τομής. Διακρίνονται τρεις σωλήνες παροχέτευσης. Ο ένας από τους σωλήνες αυτούς έχει προωθηθεί στην τραχηλική χώρα δια της θωρακικής εξόδου, προ-οισοφαγικά.

Εικόνα 4
Οπισθιοπροσθία ακτινογραφία του θώρακος πριν την έξοδο της ασθενούς από την κλινική. Πλήρης έκπτυξη του πνεύμονος και αποκατάσταση της εικόνας του τραχήλου, του δεξιού ημιθωρακίου, όπως και του μεσοθωρακίου.

Αρχή
|