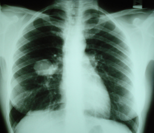
Εικόνα 1
Οπισθιοπροσθία ακτινογραφία του θώρακος. Διακρίνεται ευμεγέθης σκίαση στο μέσο πνευμονικό πεδίο του δεξιού πνεύμονος, με ομαλά όρια.

Εικόνα 2
Αξονική τομογραφία του θώρακος που δείχνει μάζα εκ μαλακών μορίων στο μέσο πνευμονικό πεδίο. Η μάζα αυτή έχει ομαλά όρια.

Εικόνα 3
Οπισθιοπροσθία ακτινογραφία θώρακος μετά από δεξιά θωρακοτομή και τμηματεκτομή του μέσου λοβού, δώδεκα χρόνια μετά από την επέμβαση.
Δεν διακρίνονται σημεία υποτροπής, ενώ φαίνονται τα clips του συρραπτικού εργαλείου που είχαν χρησιμοποιηθεί.

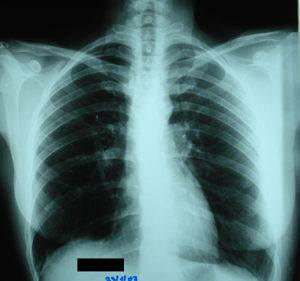
Εικόνα 4
Οπισθιοπροσθία ακτινογραφία θώρακος, δέκα έξι χρόνια μετά από την επέμβαση. Διακρίνεται σκίαση στην δεξιά πύλη. Μετά από βρογχοσκόπηση και βιοψία τέθηκε η διάγνωση καρκινοειδούς πνεύμονος.

Εικόνα 5α
Αξονική τομογραφία του θώρακος. Διακρίνονται οζώδεις παχύνσεις του τοιχωματικού υπεζωκότα δίκην κομβολογίου, εικόνα περισσότερο συμβατή με δευτεροπαθείς εμφυτεύσεις.

Εικόνα 5β
Αξονική τομογραφία του θώρακος στο ύψος της δεξιάς πύλης . Διακρίνεται μάζα στην δεξιά πύλη πού προβάλλει στον αυλό του διαμέσου βρόγχου.

Εικόνα 6α
Διεγχειρητική φωτογραφία. Αφού έγινε αποκόλληση του τοιχωματικού υπεζωκότα, διακρίνονται πολλαπλοί όζοι στην επιφάνεια αυτού όπως και στην επιφάνεια του σπλαγχνικού υπεζωκότα.

Εικόνα 6β
Διεγχειρητική φωτογραφία. Υπάρχει έλλειμμα στο διάφραγμα μετά από την εκτομή αυτού, μετά της διαφραγματικής μοίρας του τοιχωματικού υπεζωκότα. Επίσης διακρίνεται η άνω επιφάνεια του ήπατος.

Εικόνα 6γ
Διεγχειρητική φωτογραφία Αποκατάσταση του ελλείμματος του διαφράγμτος, με την τοποθέτηση συνθετικού μοσχεύματος από πολύ-τετρα-φλουορο-αιθυλένιο, πάχους δύο χιλιοστών. Η συρραφή ήταν συνεχής και έγινε με ράμματα Prolene No 1.

Εικόνα 6δ
Διεγχειρητική φωτογραφία. Μετά από την διενέργεια της πνευμονεκτομής διακρίνεται το φρενικό νεύρο και εμφυτεύσεις στο περικάρδιο.

Εικόνα 6ε
Διεγχειρητική φωτογραφία. Διακρίνεται το έλλειμμα στο περικάρδιο, και φαίνεται το μυοκάρδιο του δεξιού κόλπου, όπως και το δεξιό πλάγιο μέρος του αριστερού κόλπου.

Εικόνα 6στ
Διεγχειρητική φωτογραφία. Αποκατάσταση του ελλείμματος του περικαρδίου με marlex-mesh. Επίσης φαίνεται η άκρη του συνθετικού μοσχεύματος που είχε τοποθετηθεί για την κάλυψη του ελλείμματος στο διάφραγμα.

Εικόνα 7α
Φωτογραφία του χειρουργικού παρασκευάσματος, που είναι ο δεξιός πνεύμονας μετά του τοιχωματικού υπεζωκότα. Διακρίνονται οι πολλαπλοί όζοι (εμφυτεύσεις) στον τοιχωματικό και σπλαγχνικό υπεζωκότα.

Εικόνα 7β
Φωτογραφία του χειρουργικού παρασκευάσματος, που είναι ο δεξιός πνεύμονας μετά του τοιχωματικού υπεζωκότα. Διακρίνεται ο κύριος όγκος μετά από την διατομή του πνευμονικού παρεγχύματος.

Εικόνα 7γ
Φωτογραφία χειρουργικού παρασκευάσματος, που είναι το τμήμα του διαφράγματος, όπου διακρίνονται οι εμφυτεύσεις στην διαφραγματική μοίρα του τοιχωματικού υπεζωκότα.

Εικόνα 7δ
Φωτογραφία χειρουργικού παρασκευάσματος. Τμήμα του διαφράγματος, Φυσιολογική περιτοναική επιφάνεια αυτού.

Εικόνα 7ε
Φωτογραφία χειρουργικού παρασκευάσματος. Τμήμα του περικαρδίου που αφαιρέθηκε, ενώ διακρίνεται το φρενικό νεύρο.

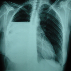
Εικόνα 8
Οπισθιοπροσθία ακτινογραφία του θώρακος, ένα μήνα μετά από την πλευροπνευμονεκτομή. Υπερέκπτυξη του αριστερού πνεύμονος, μετατόπιση του μεσοθωρακίου προς την χειρουργηθείσα πλευρά, ενώ διακρίνεται το υδραερικό επίπεδο, που είναι αναμενόμενο μετεγχειρητικό ακτινολογικό εύρημα.

Αρχή
|