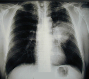
Περίπτωση Νο 1
Εικόνα 1
Ακτινογραφία θώρακος ( οπισθιο-πρόσθια ) που δείχνει ευμεγέθη όγκο της αριστερής πύλης.

Περίπτωση Νο 1
Εικόνα 2
Μετεγχειρητική ακτινογραφία θώρακος, ένας μήνας μετά από την πνευμονεκτομή. Στο αριστερό ημιθωράκιο υπάρχει υδραερικό επίπεδο, που δηλώνει την αναμενόμενη συλλογή υγρού και την έναρξη της απορρόφησης του αέρα από τον χώρο της πνευμονεκτομής. Ο χρόνος που χρειάζεται για να γεμίσει η κοιλότητα της πνευμονεκτομής με υγρό κυμαίνεται από τρεις εβδομάδες έως επτά μήνες, με μέσο όρο 3,9 μήνες.

Περίπτωση Νο 1
Εικόνα 3
Το χειρουργικό παρασκεύασμα, που είναι ολόκληρος ο πνεύμονοςς με τον όγκο να διακρίνεται κεντρικά. Η ιστολογική εξέταση έδειξε ότι πρόκειται για πλακώδες καρκίνωμα που αποτελεί τον συχνότερο ιστολογικό τύπο.

Περίπτωση Νο 2
Εικόνα 1
Οπισθιο-πρόσθια ακτινογραφία θώρακος. Διακρίνεται ευμεγέθης όγκος στον δεξιό άνω λοβό του πνεύμονος που επεκτείνεται και συνδέεται με την πύλη.

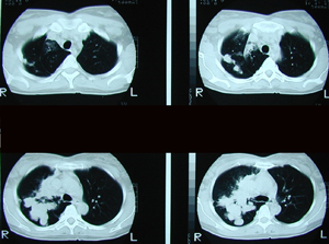
Περίπτωση Νο 2
Εικόνα 2
Αξονική τομογραφία θώρακος που δείχνει μάζα εκ μαλακών μορίων στον δεξιό άνω λοβό με επέκταση προς την πύλη. Πρόκειται για μάζα με ανώμαλα όρια και πολυλοβωτή μορφολογία.

Περίπτωση Νο 2
Εικόνα 3
Φωτογραφία χειρουργικού παρασκευάσματος. Δεξιός πνεύμονας με ευμεγέθη όγκο που διηθεί τον άνω λοβό με επέκταση προς την πύλη.

Περίπτωση Νο 2
Εικόνα 4
Οπισθιοπροσθία ακτινογραφία θώρακος πολλά χρόνια μετά από δεξιά πνευμονεκτομή. Πλήρης κατάληψη του χώρου της πνευμονεκτομής από υγρό, υπερέκπτυξη του αριστερού πνεύμονος και έλξη του μεσοθωρακίου προς την χειρουργηθείσα πλευρά.

Αρχή
|