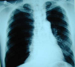
Εικόνα 1
Οπισθιοπροσθία ακτινογραφία θώρακος, που δείχνει σχεδόν oλικό πνευμοθώρακα στο δεξιό ημιθωράκιο που παρεκτοπίζει το μεσοθωράκιο προς την υγιή πλευρά.

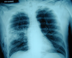
Εικόνα 2
Οπισθιοπροσθία ακτινογραφία θώρακος μετά από την τοποθέτηση του σωλήνα παροχέτευσης. Πλήρης έκπτυξη του πνεύμονος με εκτεταμένο υποδόριο εμφύσημα, λόγω ανεπαρκούς παροχέτευσης του αέρα μέσω του σωλήνα και πιθανώς λόγω μεγάλης διαφυγής αέρα. Επίσης πιθανόν να υπάρχει μονόπλευρο πνευμονικό οίδημα στο μέσο πνευμονικό πεδίο, λόγω απότομης έκπτυξης του πνεύμονα.

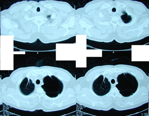
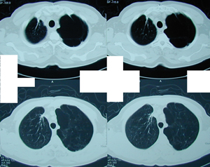
Εικόνα 3 α-ε
Αξονική τομογραφία του θώρακος. Διακρίνεται η παρουσία μεγάλου πνευμοθώρακος παρά την ύπαρξη της παροχέτευσης και την σύνδεση της συσκευής Bullau με συνεχή αρνητική πίεση. Επίσης υπάρχουν πολλαπλές μεγάλες εμφυσηματικές φυσαλίδες αμφοτερόπλευρα. Επιπλέον υπάρχει εκτεταμένο υποδόριο εμφύσημα.
Α-Β
 
Γ-Δ
 
Ε

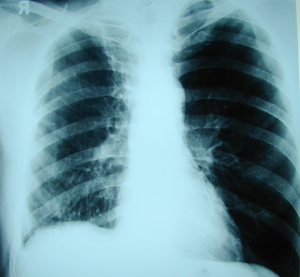
Εικόνα 4
Οπισθιο–πρόσθια ακτινογραφία θώρακος μετά από περιορισμένη θωρακοτομή.
Παρατηρείται πλήρης έκπτυξη του πνεύμονος μετά από αφαίρεση των κύστεων, την αφαίρεση του τοιχωματικού υπεζωκότα και την συρραφή του πνεύμονα στο σημείο της διαφυγής του αέρα.

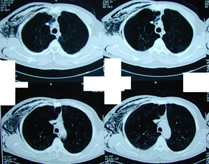
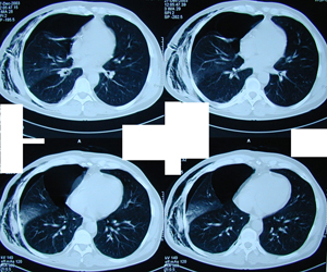
Εικόνα 5 α-γ
Μετεγχειρητική αξονική τομογραφία του θώρακος σε διαφορετικά επίπεδα. Φυσιολογική εικόνα του δεξιού πνεύμονος ενώ παραμένει αμετάβλητη η εικόνα του αριστερού πνεύμονος με τις εμφυσηματικές φυσαλίδες και ευμεγέθεις αερώδεις κύστες.
Α-Β
 
Γ

Αρχή
|