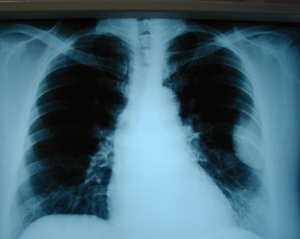
Περίπτωση Νο 1
Εικόνα 1
Ακτινογραφία θώρακος (οπισθιοπροσθία λήψη) που δείχνει σκίαση στον αριστερό κάτω λοβό.

Περίπτωση Νο 1
Εικόνα 2
Αξονική τομογραφία θώρακος που δείχνει την θέση του όγκου. Πρόκειται για μάζα εκ μαλακών μορίων, με ομαλά όρια και ομοιογενή πυκνότητα.

Περίπτωση Νο 1
Εικόνα 3
Μετεγχειρητική ακτινογραφία του θώρακος μετά από την αφαίρεση του όγκου.

Περίπτωση Νο 1
Εικόνα 4
Χειρουργικό παρασκεύασμα. Ο όγκος αφαιρέθηκε με σφηνοειδή εκτομή. Η ιστολογική εξέταση έδειξε ότι πρόκειται για σπάνιο όγκο του πνεύμονος, με χαρακτήρες σκληρυντικού αιμαγγειώματος.

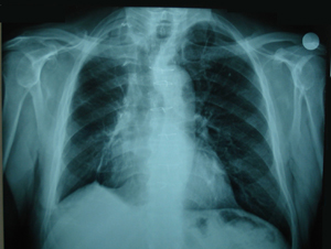
Περίπτωση Νο 2
Εικόνα 1
Οπισθιο-προσθία ακτινογραφία θώρακος. Διακρίνεται ευμεγέθης ομοιογενής σκίαση στο δεξιό ημιθωράκιο στο άνω και μέσο πνευμονικό πεδίο.

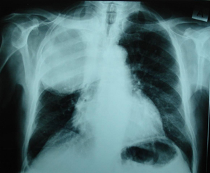
Περίπτωση Νο 2
Εικόνα 2
Πλάγια ακτινογραφία θώρακος, ευμεγέθης μάζα στο οπίσθιο-μέσο-άνω πνευμονικό πεδίο, με ομοιογενή σύσταση και ομαλά όρια.

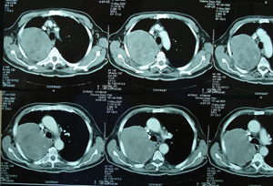
Περίπτωση Νο 2
Εικόνα 3α-δ
Αξονική τομογραφία θώρακος σε διαφορετικά επίπεδα. Μάζα μαλακών μορίων που καταλαμβάνει το μεγαλύτερο μέρος του άνω λοβού. Η μάζα πιέζει την πνευμονική αρτηρία, τον κύριο βρόγχο και την άνω κοίλη φλέβα και πρόκειται για μάζα εκ μαλακών μορίων με νεκρώσεις κατά περιοχές.
Α-Β
 
Γ-Δ
 
Περίπτωση Νο 2
Εικόνα 4
Μετεγχειρητική ακτινογραφία θώρακος μετά από μέση στερνοτομή και δεξιά πρόσθια θωρακοτομή. Έγινε άνω και μέση λοβεκτομή.

Περίπτωση Νο 2
Εικόνα 5
Πλάγια ακτινογραφία θώρακος μετά από την αφαίρεση του όγκου.

Περίπτωση Νο 2
Εικόνα 6
Το χειρουργικό παρασκεύασμα . Άνω και μέσος λοβός που καταλαμβάνονται από τον όγκο. Ο όγκος είχε διαστάσεις 17,5 x 15 x 11,5 εκ. και η ιστολογική εξέταση έδειξε ότι πρόκειται για σπάνιο ενδοπνευμονικό μονήρη ινώδη όγκο ( intrapulmonary solitary fibrous tumour ).

Αρχή
|