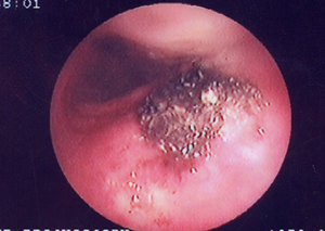
Εικόνα 1
Βρογχοσκοπική εικόνα της τραχείας με την χρήση εύκαμπτου βρογχοσκοπίου. Διακρίνεται ευμεγέθης όγκος (ανθοκραμβοειδής μάζα), που αποφράσσει τον αυλό της τραχείας κατά 85% περίπου.

Εικόνα 2
Βρογχοσκοπική εικόνα της τραχείας με την χρήση εύκαμπτου βρογχοσκοπίου. Έγινε καυτηρίαση του όγκου με την χρήση ακτίνων Nd. YAG Laser, προκειμένου να επιτευχθεί η διασωλήνωση του
αρρώστου.

Εικόνα 3α-β
Τμήμα τραχείας μήκους 4,5 εκ., περίπου που είναι διηθημένο από κακοήθη όγκο. Ο όγκος λείπει από τον αυλό της τραχείας καθώς είχε προηγηθεί καυτηρίαση του προβάλλοντος τμήματος αυτού εντός του αυλού της τραχείας. Διακρίνεται μόνο η βάση του, εντός του αυλού αλλά και φαίνεται ο όγκος να διηθεί το τοίχωμα της τραχείας εξωτερικά.
A-B

Εικόνα 4
Βρογχοσκοπική εικόνα με την χρήση εύκαμπτου βρογχοσκοπίου. Διακρίνεται η γραμμή συρραφής της τραχείας, η οποία έγινε με την χρήση μη απορροφήσιμων ραμμάτων Prolene 2/0. Η συρραφή είναι συνεχής και γίνεται σε ένα στρώμα.
Αρχή |